Cervico-Vaginal Smear Abnormalities in a Patient with Pemphigus Vulgaris
Abstract
Pemphigus vulgaris is an autoimmune-mediated blistering disease. Cervical involvement is rare.
A 38 year old nulliparous woman with PV on oral prednisolone and azathioprine was referred to the Gynaecology service for an abnormal cervical cytological smear showing low-grade squamous intraepithelial lesion. She was asymptomatic, 10 pack-year smoker, and reported no abnormal vaginal bleeding.
Colposcopy was unsatisfactory with inadequate visualisation of the transformation zone due to severe cervico-vaginitis. A small focus of aceto-white epithelium was seen, surrounded by peeling, friable epithelium. HPV DNA test was negative. Punch biopsy demonstrated metaplastic squamous epithelium with intraepidermal suprabasal blister formation with acantholysis. Well-vascularised dermal papillae lined residual basal cells, giving rise to a tombstone appearance. There was no evidence of CIN/CGIN or invasive malignancy. An ulcer was also seen in the left buccal region.
Repeat colposcopy after 6 weeks showed a small ulcerated area at the biopsy site with rolled healing edges, and a separate small ulcer. Cervical smear and colposcopy 6 months later were unremarkable.
The incidence of cervical pemphigus vulgaris may be underestimated because women with pemphigus are often managed by Dermatologists without gynaecological input. In many published cases, cervical involvement was only detected after gynaecological examination due to symptoms such as dyspareunia, post-coital bleeding or vaginal discharge.
Cervical smears of patients with pemphigus vulgaris typically display acantholysis, which may be misinterpreted as reparative, inflammatory, or neoplastic change. There have been reports of unnecessary hysterectomy due to such misdiagnoses. Review by an experienced cyto-pathologist is required in the event of diagnostic uncertainty.
Author Contributions
Copyright © 2024 Zheng Yuan, et al
This is an open-access article distributed under the terms of the Creative Commons Attribution License, which permits unrestricted use, distribution, and reproduction in any medium, provided the original author and source are credited.
Competing interests
The authors have declared that no competing interests exist.
Citation:
Introduction
Pemphigus Vulgaris (PV) is an autoimmune-mediated blistering disease that affects cutaneous and mucosal surfaces. The commonest site of mucosal involvement is in the oral cavity, whereas other epithelial surfaces that also express desmoglein-3 may be affected less commonly. The uterine cervix is a rare site of involvement. Nevertheless, it remains relevant as the presence of an inflammatory background and acantholytic clusters of atypical parabasal cells in cervical smears may be confused with high grade dyskaryosis or even neoplastic changes.1, 2
Case Report
Ms HSJM is a 38 year old nulliparous woman with a history of PV on oral prednisolone and azathioprine. She is a smoker with approximately 10 pack years. She was initially diagnosed with PV after presenting to the Dermatology service approximately 2 years prior with recurrent mouth ulcers. She was referred to the Gynaecology service on the basis of an abnormal cervical cytological smear showing changes consistent with low-grade squamous intraepithelial lesion (LSIL). She was asymptomatic, with no abnormal intermenstrual or post-coital bleeding. She had a history of post-coital bleeding approximately 3 years prior, before the diagnosis of PV was made. The post-coital bleeding resolved spontaneously 2 years prior.
At initial presentation, colposcopy was unsatisfactory due to inadequate visualisation of the transformation zone. (Figure 1) Severe cervico-vaginitis was seen, with frothy white discharge and contact bleeding. A small focus of aceto-white epithelium was seen at the 1 o’clock region surrounded by peeling, friable epithelium. HPV DNA test, as well as cervical punch biopsy of the focus of aceto-white epithelium were taken.
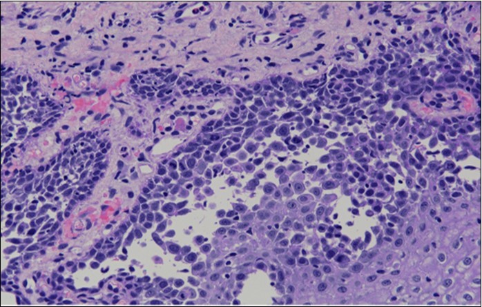
HPV test was negative for high risk subtypes of HPV. The punch biopsy specimen comprised a piece of inflamed cervical tissue in which the transformation zone was represented. The cervical tissue was covered by metaplastic and hyperplastic squamous epithelium showing intraepidermal suprabasal blister formation with acantholysis. Well vascularised dermal papillae lined residual basal cells giving rise to a tombstone appearance were present. There was no evidence of HPV, CIN, CGIN or invasive malignancy.
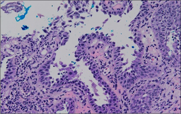
Repeat colposcopy was performed after 6 weeks. This revealed a small ulcerated area at the site of previous biopsy with rolled healing edges, and a separate small ulcer at the 12 o’clock position. (Figure 2a, Figure 2b, Figure 2c) Careful inspection of the buccal mucosa revealed similar ulcers in the left buccal region. (Figure 3)
Figure 2a.Repeat colposcopy (low magnification)
Figure 2b.Repeat colposcopy (high magnification)
Figure 2c.Repeat colposcopy (high magnification)
She was discussed at the hospital cyto-pathology conference to clarify the diagnosis. The original cytological smear specimen was reviewed, with features of bi-nucleation and koilocytosis consistent with LSIL. The cervical biopsy was also reviewed, confirming typical features suggestive of cervical pemphigus. (Figure 4a, Figure 4b, Figure 4c)
Figure 4a.Cervical tissue showing intraepidermal and supra-basal blister formation.
Figure 4b.Prominent acantholysis identified
Figure 4c.Well vascularised dermal papillae with residual basal layer giving rise to tombstone appearance
Repeat follow-up was arranged in 6 months. Colposcopy was satisfactory and unremarkable, and a repeat PAP smear was normal except for floridly reactive metaplastic cells, with no dyskaryotic or malignant cells seen. Thereafter, she is planned for yearly follow-ups.
Discussion
PV involvement of the uterine cervix is rare, although approximately 20 cases have been reported in the literature. 1, 3, 4, 5 Its incidence may be underestimated in literature because many women with PV are followed up by Dermatologists and routine gynaecological examinations may not be performed. In many of the published cases, cervical involvement was only detected after examination due to gynaecological symptoms and such as dyspareunia, post-coital bleeding or vaginal discharge in patients with a prior diagnosis of PV.
Cervical smears of patients with PV typically display acantholysis, which may be misinterpreted by the cytopathologist as reparative, inflammatory, or neoplastic change. There have been cases reported of unnecessary hysterectomy due to such a misdiagnosis.2
Approximately 22-51% of women with PV may have clinically apparent genital involvement on gynecologic examination and colposcopy. 1, 4, 5 This highlights the importance of thorough gynecologic evaluation in patients with PV to delineate the extent of genital disease and avoid potential misdiagnosis. In the absence of clinical PV, it is still important to consider this diagnosis when acantholysis is seen in a cervical smear, due to the possibility that of subclinical cervical involvement. 2 Review by an experienced cyto-pathologist is required in the event of diagnostic uncertainty.
References
- 1.Akhyani M, Chams-Davatchi C, Naraghi Z, Daneshpazhooh M, Toosi S et al. (2008) Cervicovaginal involvement in pemphigus vulgaris: a clinical study of 77 cases. , Br J Dermatol 158(3), 478-82.
- 2.Valente P T, Ernst C S, Atkinson B F. (1984) Pemphigus vulgaris with subclinical involvement of the uterine cervix. Report of a case with persistence of abnormal Papanicolaou smears posthysterectomy. , Acta Cytol 28(6), 681-3.
- 3.AZC Lobo, Sousa J X, Aoki V, Sotto M N, E Aida Gay de Pereyra et al. (2006) Pemphigus vulgaris of the uterine cervix: misinterpretation of papanicolaou smears. , Acta Derm Venereol 86(4), 355-6.


